Talagias
🦶🧱⚠️ Talalgias plantares
Las talalgias plantares suelen ser propias de los varones. De ellas distinguimos tres grupos:
- Traumáticas
- Inflamatorias
- Del crecimiento o del joven
Etiopatogenia
En su origen se halla un proceso de distensión a nivel de la inserción de la aponeurosis plantar, por procesos de desgarro de sus fibras, de fascitis debidas a microtraumatismos reiterados. Los mecanismos de producción de estos microtraumas pueden ser muy variados: talonazos dados en la práctica deportiva (saltador, judoka, etc.) y en ciertas profesiones, sobrecarga por exceso de peso, caída de talones, o microtraumatismos por atrofia de la almohadilla grasa subcutánea tras un encamamiento largo o tras retirar un vendaje de yeso.
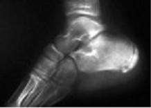
En cuanto a la patogenia de las talalgias traumáticas, los microtraumas reiterados pueden originar un proceso de periostitis con osificación de la aponeurosis en su punto de inserción. Radiográficamente esto se traduce en una imagen en forma de espina llamada espolón calcáneo (figura 1), pues recuerda el espolón del gallo, a menudo bilateral. Durante mucho tiempo se le achacó la causa del dolor a esta espina, pero se ha demostrado que su extirpación no lo hace desaparecer y que personas con espolón en ambos pies pueden tener talalgias en uno solamente. Parece ser que, tanto en este grupo como en las talalgias de crecimiento, son los traumatismos repetidos los causantes del dolor.

🌡️🔥🧒 Talalgias inflamatorias
Como su nombre indica, están causadas por procesos inflamatorios, entre los que cabe destacar los de origen metabólico, como la gota; infecciosos, como la gonococia que da la talalgia blenorrágica; o enfermedades inflamatorias crónicas como la espondilitis anquilopoyética (en varones) o la artritis reumatoide (en mujeres).
Clínica
La enfermedad se caracteriza por un dolor selectivo en la porción media del talón en su cara plantar, justo donde se inserta la aponeurosis plantar en la tuberosidad del calcáneo, siendo en ocasiones causa de cojera.
En las talalgias de crecimiento, que afectan a niños de 8 a 10 años, puede doler el talón, pero a los lados. Clásicamente se incluían dentro de la osteocondritis isquémica aséptica o enfermedad de Sever (figura 2), pues radiográficamente se aprecia una condensación ósea en forma de media luna, semejante a un foco de necrosis.
Sin embargo, hoy se sabe que la imagen radiográfica corresponde al núcleo de osificación de la tuberosidad, que aparece a esa edad y desaparece hacia los 12-14 años tras osificarse completamente. El dolor real proviene del punto de inserción de la aponeurosis y del tendón de Aquiles, debido a un proceso de osteotendinitis.

Figura 2. Enfermedad de Sever
Tratamiento
En las talalgias con espolón calcáneo, la extirpación quirúrgica rara vez resuelve el dolor, ya que generalmente solo puede eliminarse parte de la espina. Las medidas indicadas incluyen:
- Reducir la carga sobre el talón usando calzado con tacón alto (tipo bailaor) o cuñas de goma-espuma.
- Reducción del peso corporal si hay obesidad.
- Disminución de la bipedestación prolongada.
Se puede instaurar tratamiento con AINEs o realizar infiltraciones locales con novocaína y prednisolona.
En las talalgias de crecimiento, la mejor medida es el reposo.
🏃🎯👟 Talalgias posteriores
En la porción posterior del calcáneo encontramos estructuras como:
- Bolsa serosa retroaquílea (entre el tendón de Aquiles y el ángulo posterosuperior del calcáneo)
- Cinco bolsas serosas preaquíleas (entre piel y tendón): tres en la línea media y dos laterales
La inflamación de estas bolsas genera dolor en la zona posterior del talón, lo que denominamos talalgia posterior. Es más frecuente en mujeres jóvenes o adolescentes.

Figura 3. Espolón calcáneo posterior
Etiopatogenia
La etiología de estas bursitis retro o preaquíleas se basa en microtraumatismos por compresión, ya sea externa o interna:
- Compresión externa: zapatos con contrafuertes altos, incurvados o inadecuados, tacones excesivos, calzado sin sujeción anterior.
- Compresión interna: deformidad conocida como calcáneo de Haglund (ángulo posterosuperior del calcáneo más puntiagudo).
Tratamiento
Dependerá del origen:
- Si es por calzado, usar contrafuertes más blandos y bajos, disminuir el tacón, colocar gomaespuma lateralmente o usar zapatillas.
- Aplicación de frío local y AINEs para aliviar el dolor.
- Si hay calcáneo de Haglund, se requiere intervención quirúrgica para extirpar la deformidad.
¿Tienes fascitis plantar? ¿Algún problema en el pie?
Consulta nuestra guía completa y secuencial para su tratamiento, con ejercicios, medidas conservadoras y estrategias efectivas para aliviar el dolor.