Problemas de los peroneos
Introducción
Las lesiones de los tendones peroneos, ubicados detrás del maléolo lateral, son frecuentes en deportistas. Se producen principalmente donde ambos tendones se deslizan dentro de un túnel fibroso. Aunque menos comunes que las del tendón de Aquiles o el tibial posterior, estas lesiones pueden confundirse con esguinces y son una causa frecuente de dolor lateral crónico de tobillo.
Las lesiones pueden ser agudas (tendinitis, desgarros, distensiones, dislocaciones) o crónicas (roturas longitudinales, subluxaciones recidivantes). Las agudas suelen deberse a una inversión del tobillo o contracción violenta en dorsiflexión; las crónicas, a menudo asociadas a artrosis o inestabilidad.
Estas lesiones crónicas frecuentemente se relacionan con artrosis o inestabilidad. En tendinopatías crónicas sin traumatismo evidente, se recomienda una evaluación biomecánica completa.
Anatomía
Los tendones de los músculos peroneos, lateral largo y corto, discurren por la parte externa de la pierna y cruzan por detrás del maléolo lateral. Se sitúan dentro de una ranura ósea y un túnel fibroso reforzado por el retináculo superior e inferior, que les da estabilidad.

El retináculo superior estabiliza desde el periostio del peroné hasta el calcáneo. El inferior tiene dos túneles separados. Al contraerse los peroneos, los tendones actúan como poleas facilitando la flexión plantar y la eversión.

Peroneo corto: se inserta en el 5.º metatarsiano y permite extensión, pronación, abducción y eversión.
Peroneo largo: cruza la planta del pie hasta el primer metatarsiano y estabiliza los arcos plantares. Tiene funciones similares al peroneo corto.
Anatomía funcional
El peroneo largo se origina en la cabeza del peroné; el corto, en la parte distal. Ambos discurren tras el maléolo lateral dentro del surco peroneo, con una disposición donde el corto está por delante del largo.
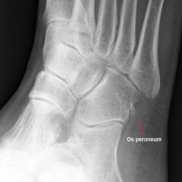
El surco y los retináculos delimitan un túnel fibro-óseo. El peroneo corto se inserta en el 5.º metatarsiano. El largo cruza bajo el cuboides hacia el primer metatarsiano y cuneiforme medial. Puede encontrarse un os peroneum en el largo (20%) y un os vesalianum en el corto (0,1%).
Biomecánica específica
Los peroneos estabilizan el tobillo y actúan junto al tibial posterior. Son clave en movimientos laterales y saltos, comunes en deportes. Después de esguinces, la alteración propioceptiva e inestabilidad requieren su recuperación funcional.
Factores como discrepancia de piernas, impingement, debilidad del core o dolor lumbar afectan la biomecánica. El control muscular desde la cadera y muslo es esencial para proteger al tobillo de fuerzas anómalas. Los peroneos forman parte crítica de esta estabilización.
Fisiopatología
Los movimientos repetidos en deportes causan irritación dentro del túnel fibroso, generando tenosinovitis. Esguinces en inversión también dañan los tendones, favoreciendo desgarros o subluxaciones.

Tras un esguince, la sobrecarga de los peroneos puede derivar en tendinitis o subluxación. En algunos casos, aparece tendinosis por degeneración del colágeno, debilitando el tendón, que intenta repararse con tejido cicatricial, lo que lo hace vulnerable a rupturas longitudinales, especialmente en el peroneo corto.
Causas
La mayoría de las lesiones de los tendones peroneos son causadas por esguinces laterales de tobillo típicos, agudos o recurrentes. Las lesiones aisladas de los tendones peroneos son raras.
- La lesión aguda implica una dorsiflexión forzada con contracción de los músculos peroneos o una inversión con alta carga. La mayoría de las lesiones agudas evolucionan hacia una tendinopatía subaguda o crónica.
- La lesión crónica implica repetidas lesiones por inversión, daños al retináculo peroneoastragalino posterior y maleolar lateral, y/o luxación recurrente de los tendones peroneos, desgarros crónicos e inestabilidad lateral del tobillo.

Los factores biomecánicos pueden predisponer a lesiones en los tendones peroneos:
- Las alteraciones de la marcha deben ser evaluadas y tratadas. La eversión excesiva puede pellizcar y ejercer presión sobre los tendones en su trayecto entre el maléolo lateral y la tróclea peroneal.
- El pie plano grave o la desviación del retropié (valgo o varo) puede ser un factor a tener en cuenta.
- El equino o la restricción en dorsiflexión del tobillo puede conducir a lesiones.
- El pinzamiento anterolateral de tobillo (impingement), especialmente después de un esguince, puede causar sobrecompensación de los peroneos.
- Una equipación mal ajustada (patines, botas de baloncesto, etc.) puede contribuir a las lesiones de estos tendones.
Manifestaciones clínicas
Las historias de cada tipo de lesión en los tendones peroneos tienen diferencias sutiles. La clave es tener una sospecha clínica y escuchar atentamente al paciente.
Tendinitis peronea
- Los síntomas de dolor detrás y distal al maléolo lateral suelen ocurrir cuando el paciente vuelve a la actividad después de un periodo de tiempo libre.
- La hinchazón y sensibilidad también pueden estar presentes.


Subluxación del tendón peroneo (ver imagen)
- Se notan chasquidos a lo largo de la parte lateral del tobillo, con una sensación de debilidad o dolor. Una sensación de crujido dolorosa en la parte lateral del tobillo es la indicación clásica de subluxación de los tendones peroneos.
- También puede haber dolor al caminar de puntillas o hacer movimientos de cortes laterales.
- Con la lesión aguda hay dolor e inflamación en la cara posterolateral del tobillo.
- Las lesiones crónicas pueden conducir a la subluxación, incluyendo lesiones recurrentes por inversión, lo que lleva a inestabilidad lateral del tobillo y chasquido doloroso en todo el tobillo.
Desgarros de los tendones peroneos
- Con una lesión aguda, el dolor y la hinchazón son inferiores y posteriores al maléolo lateral. El paciente puede haber tenido dolor previo, pero ahora es debilitante y con disminución de la fuerza.
- Una lesión crónica resulta en aparición sutil e insidiosa de dolor posterior al maléolo lateral que empeora progresivamente tanto en función como en intensidad del dolor.
Lesión anómala del músculo peroneo lateral corto
- Esta lesión puede ser aguda o crónica.
- El paciente puede tener dolor debilitante con la posición de despegue del pie, sin antecedentes de lesión en el tobillo.
Exploración física
El examen debería centrarse en la función y la estabilidad del tobillo.
Inspección
Observe la cantidad y ubicación de la inflamación. Busque equimosis y/o cualquier deformidad del tobillo o pie (el pie está en varo para desgarros agudos del peroneo corto). Tenga en cuenta la posición de los tendones peroneos, que pueden estar visiblemente subluxados sin necesidad de pruebas de manipulación. Observe la marcha del paciente en busca de rotación anormal, golpe del talón o transferencia de peso anómala.
Palpación
Palpe los ligamentos laterales del tobillo y a lo largo de los tendones peroneos hasta sus sitios de inserción. Evalúe también las estructuras óseas en busca de posibles fracturas. Verifique pulsos y el estado neurovascular.
Pruebas específicas
Se deben evaluar la flexión plantar pasiva y activa, dorsiflexión, inversión y eversión, además de pruebas específicas para la estabilidad.
- Prueba del cajón anterior: el paciente se sienta en el borde de la mesa con las piernas colgando. El examinador mantiene estable la tibia distal con la mano no dominante y tira de la parte posterior del calcáneo hacia adelante con la otra mano. La laxitud indica lesión del ligamento talofibular anterior.

Prueba de inclinación
Con el paciente sentado en el borde de la mesa con sus piernas colgando, mantenga la tibia distal estable con una mano. Con la otra, desde el calcáneo, intente abrir el compartimiento lateral del tobillo. La apertura indica lesión en el ligamento peroneocalcáneo.

Prueba de estabilidad de los tendones peroneos
El operador mantiene el pie del paciente con una mano, mientras con la otra palpa suavemente los tendones peroneos justo detrás del maléolo lateral. Luego mueve el pie en inversión hasta el final del rango y pide al paciente que realice una eversión contra resistencia, supervisando el tendón en busca de chasquido palpable o movimiento anormal.

Diagnóstico diferencial
- Tendinitis del Aquiles
- Fractura de tobillo
- Síndrome de pinzamiento del tobillo
- Esguince de tobillo
- Lesiones deportivas del pie
- Lesiones del ligamento peroneocalcáneo
- Lesiones del ligamento peroneoastragalino
Estudios de imagen
La radiografía es el estudio de primera línea para la exclusión de fracturas del maléolo lateral o el calcáneo, artrosis o cuerpos libres. También es útil para observar migración del os peroneum en ruptura del tendón del peroneo largo.

Más importante aún, las radiografías permiten identificar una fractura del borde, que es una avulsión del retináculo peroneo superior del maléolo lateral. Una proyección en estrés del astrágalo también es útil: si hay más de 15° de inclinación, puede haber inestabilidad astragalina que conlleva a inestabilidad de los peroneos.
La resonancia magnética (RM) es el criterio estándar para identificar lesiones de los tendones peroneos. Estas se manifiestan como una señal de alta intensidad en las vistas axiales del tendón afectado en T2. Según Kijowski et al., una intensidad intermedia uniforme o predominante en 3 cortes axiales consecutivos en secuencia PD (protones densidad ponderadas) es muy sensible y moderadamente específica para tendinopatía peronea sintomática. También lo es la presencia de líquido circunferencial superior a 3 mm.
La ecografía es útil para detectar todos los tipos de lesiones peroneas. Permite realizar ultrasonografía en tiempo real para evaluar la estabilidad dinámica. No todas las instalaciones cuentan con ecografía musculoesquelética, pero Neustadter et al. encontraron que la ecografía dinámica tiene un valor predictivo positivo del 100% para subluxación en 13 pacientes.
La tomografía computarizada (TC) permite valorar irregularidades óseas o fracturas sospechosas, especialmente en el calcáneo. También es más precisa para detectar osificación heterotópica.
La tenografía puede usarse para valorar lesiones grandes de los tendones, aunque rara vez se emplea en la práctica clínica habitual.
La electromiografía (EMG) es útil en casos con debilidad profunda sin daño tendinoso evidente. Debe considerarse en casos de pie caído.
Tratamiento
Fase aguda 🔥
Objetivo: Control del dolor, inflamación y protección del tendón.
Programa de Rehabilitación
La mayoría de las lesiones de tobillo se manejan inicialmente con reposo, hielo, compresión y elevación (RICE), con o sin un período corto de no soportar peso. Los AINE (antiinflamatorios no esteroideos) pueden prescribirse para reducir la inflamación y el dolor.
Terapia física inicial
Puede ser necesario inmovilizar el pie y la pierna con una ortesis o yeso corto de marcha durante 2 a 4 semanas. En casos menos graves, puede utilizarse una ortesis maleolar que limite la inversión y eversión, soporte para el arco medial o una cuña lateral.

El fisioterapeuta puede aplicar calor, hielo o ultrasonido para aliviar síntomas. Posteriormente se añaden ejercicios de estiramiento, fortalecimiento y coordinación para el tobillo.

En algunos casos crónicos, puede inyectarse cortisona en el peritendón, pero se debe evitar su infiltración directa dentro del tendón por riesgo de rotura.
La cirugía no se considera en esta etapa salvo que los síntomas no puedan ser controlados de otra forma.
Una vez que la inflamación y el dolor han disminuido, se inicia un programa de rehabilitación funcional, con fortalecimiento, flexibilidad y propiocepción.
Si existe tendinosis sin rotura, puede indicarse inmovilización con yeso por 2 a 6 semanas, especialmente si los síntomas son recurrentes.
Complicaciones: dolor persistente, recaídas, y marcha inestable que puede provocar nuevas lesiones.
Intervención quirúrgica 🛠️
Está indicada en:
- Ruptura del tendón del peroneo corto
- Luxación aguda de los tendones
- Hipertrofia anómala del músculo peroneo corto
- Roturas del peroneo largo con disfunción
Las roturas pueden ser longitudinales u horizontales. La subluxación se trata reparando el retináculo peroneal, los ligamentos laterales y, en ocasiones, profundizando el surco del peroné.
Complicaciones quirúrgicas: lesión del nervio sural, dolor lateral crónico, síntomas persistentes, pérdida de rango de movimiento e infecciones.
Fase de recuperación 💪
Objetivo: Restaurar movilidad, fuerza y funcionalidad del tobillo.
Tratamiento quirúrgico
Para tendinitis persistente, puede realizarse una tenosinovectomía. Las roturas crónicas requieren reparación quirúrgica, especialmente si existe tendinosis con nódulos o tejido cicatricial.
Técnicas quirúrgicas
- Liberación del tendón (Tendon release)
Se abre la vaina del tendón para eliminar tejido inflamado. No se sutura la vaina, que se cierra por sí sola con tejido cicatricial.

- Desbridamiento
Se elimina tejido degenerado del tendón de forma más exhaustiva que en la tenosinovitis.
- Reparación del tendón
Si el desgarro longitudinal supera un tercio del tendón, se sutura a lo largo de su longitud. Si es menor, se elimina el fragmento desgarrado. La vaina y la piel se suturan.
Rehabilitación postquirúrgica
Inmovilización con escayola durante 2 a 6 semanas, según el procedimiento. Después, se inicia fisioterapia con movilización suave seguida de estiramientos progresivos.

El objetivo es recuperar entre el 80-90% de la fuerza funcional del tobillo. Puede utilizarse ortesis o taping hasta 6 meses.
La rehabilitación propioceptiva es crucial para prevenir esguinces recurrentes. Cada lesión puede dañar el equilibrio, el soporte lateral y la estabilidad global.
Fase de mantenimiento 🧘
La fase de mantenimiento debe basarse en un buen pre-ejercicio y un buen post-ejercicio con estiramientos del tobillo y el uso continuado de fortalecimiento con las técnicas aprendidas en la terapia física. Los refuerzos con ortesis o taping no deberían ser necesarios si el tobillo está totalmente rehabilitado.
Volver a la práctica deportiva
Si no se requiere cirugía y / o escayolado para una lesión leve del tendón peroneo, el paciente puede regresar a sus actividades en 1-2 semanas, con ortesis en el tobillo o taping hasta recuperar la fuerza y la función en un 90-100% del tobillo no afectado.
Si se lleva a cabo la cirugía, se permite volver a jugar con un ortesis por lo general una vez que la fuerza y la función del tobillo se ha rehabilitado el 90% de lo que en el tobillo no afectado. Una vez que el tobillo está cerca de 100%, la ortesis/taping normalmente no es necesaria pero permitida.

Complicaciones
Las complicaciones del tratamiento conservador de una lesión en el tendón peroneo son la progresión del dolor y de la inestabilidad y la posible ruptura del tendón peroneo. Las complicaciones quirúrgicas varían dependiendo del procedimiento. Una de las más comunes son la lesión del nervio sural, la progresión de los síntomas, el dolor crónico lateral de tobillo, y la pérdida del rango de movimiento. Cualquier cirugía representa un riesgo de infección y el fracaso de la intención del procedimiento.
Prevención
Se pueden tomar varias medidas para prevenir las lesiones del tendón peroneo: (1) un buen estiramiento del tobillo antes y después del ejercicio, (2) un aumento gradual en el nivel de actividad o de entrenamiento, y (3) la rehabilitación completa del tobillo después de cualquier tipo de lesión. Estas medidas pueden disminuir la aparición de lesiones de tobillo y, a su vez, previenen la lesión del tendón peroneo. Otras intervenciones, como por ejemplo tratar de corregir anormalidades en los pies (por ejemplo, pie plano), también desempeñan un papel fundamental en la prevención.

Pronóstico
El pronóstico de mejoría con el tratamiento conservador es excelente si no hay inestabilidad funcional que requiere cirugía. Las reparaciones quirúrgicas de la luxación aguda y roturas crónicas también dan buenos resultados. La inmovilización para una luxación aguda tiene una tasa de éxito de sólo el 50%. Por lo tanto, esta opción debe reservarse para los pacientes con contraindicaciones para la cirugía.
Educación
Educar a los pacientes sobre la importancia de la rehabilitación después de una lesión de tobillo es la piedra angular en la prevención de las lesiones del tendón peroneo. Además, se destaca la necesidad de estirar antes y después del ejercicio que también es muy importante.
Conclusiones
Las lesiones de los tendones peroneos representan una causa importante de dolor lateral de tobillo, especialmente en deportistas o personas con inestabilidad crónica. Su manejo adecuado requiere un diagnóstico preciso mediante exploración física e imagen, seguido de una estrategia terapéutica que combine reposo, fisioterapia y, en casos seleccionados, cirugía.
El tratamiento debe ser individualizado según el grado de afectación, siendo clave iniciar precozmente la rehabilitación funcional para evitar secuelas como la pérdida de fuerza, inestabilidad o dolor crónico. Las técnicas quirúrgicas han evolucionado y ofrecen buenos resultados cuando están indicadas.
La prevención, basada en el fortalecimiento, la propiocepción y una adecuada readaptación al ejercicio, es esencial para evitar recurrencias. Finalmente, la educación del paciente y su compromiso con la recuperación son pilares para lograr un retorno seguro y efectivo a la actividad física.