Síndrome predislocación
Síndrome de predislocación - Rotura de la placa plantar
El síndrome de predislocación es un proceso inflamatorio, agudo, subagudo o crónico, que afecta a las articulaciones metatarsofalángicas menores y con frecuencia es no reconocido o mal diagnosticado.
Esta enfermedad es el resultado del fallo de la placa plantar y de los ligamentos colaterales, asociados a patrones anormales de carga del antepié. El progreso de estas alteraciones lleva a la ruptura de la placa plantar que condiciona una inestabilidad crónica de las articulaciones metatarsofalángicas que conduce a una subluxación y luxación de las mismas.
Las roturas de la placa plantar pueden ser la causa más común de dolor debajo de las articulaciones metatarsofalángicas menores, especialmente de la segunda articulación metatarsofalángica.
Otros nombres con los que se reconoce:
- Síndrome de predislocación
- Deformidad del dedo cruzado
- Síndrome del dedo del pie flotante
- Dislocación crónica de la articulación de los metatarsianos menores
- Síndrome de inestabilidad de la articulación metatarsofalángica menor
- Luxación/subluxación de la articulación metatarsofalángica del segundo dedo
- Inestabilidad de la segunda articulación metatarsofalángica
- Sinovitis traumática monoarticular de la segunda articulación metatarsofalángica
¿Qué es la placa plantar?
En la parte inferior de cada articulación de los dedos (excluyendo el dedo gordo del pie), hay una estructura entre la base de la primera falange del dedo y el metatarsiano. Esta estructura se llama placa plantar. Se trata de un espesamiento fibrocartilaginoso plantar de la cápsula articular. Esta estructura mantiene el dedo del pie en la articulación y evita la hiperextensión y que se salga fuera del rango normal de movimiento.
En el ciclo de la marcha los dedos de los pies se doblan en la base de la articulación del dedo, justo antes de la fase de despegue del pie. La placa plantar sostiene el dedo del pie en su lugar y mantiene el dedo en extensión. No hay musculatura asociada con este ligamento.

La placa plantar sirve para:
- Estabilizar la articulación metatarsofalángica. La placa plantar junto a la cápsula fibrosa y los ligamentos colaterales son los principales estabilizadores de los metatarsianos.
- Ayudar en el mecanismo de molinete debido a su apego a la fascia plantar. Los metatarsianos actúan como poleas en torno al cual se tensa la fascia para que el arco longitudinal medial del pie se pueda levantar sin esfuerzo muscular.
- Resistir la hiperextensión de la articulación metatarsofalángica.
- Absorber cargas de compresión.
Anatomía de la placa plantar y sus anexos en la articulación metatarsofalángica menor.
La placa plantar está compuesta por fibrocartílago que es una mezcla de fibras de colágeno y cartílago duro. Los tipos de células de la placa incluyen condrocitos y fibroblastos. La orientación de las fibras sugiere que resiste las cargas de tracción en línea con la fascia plantar, así como las cargas de compresión de la cabeza del metatarsiano. Gracias a la presencia de los ligamentos colaterales también puede resistir la flexión hacia los lados. La placa plantar constituye la inserción distal más importante de la fascia plantar. Se observan importantes inserciones de la placa plantar en la falange proximal, en las bandas longitudinales mayores de la fascia plantar y en los ligamentos colaterales. La placa y los ligamentos colaterales forman una envoltura de tejido blando conectado a los lados de la cabeza del metatarsiano. Debido a estos anexos adjuntos y una estrecha asociación con los tendones flexores de los dedos menores del pie, la placa puede ser comparada con el mecanismo sesamoideo de la primera articulación metatarsofalángica.
Causas del síndrome de predislocación
La rotura de la placa plantar puede ser causada por:
- Sobrecarga repetida
- Una lesión específica del dedo del pie y/o la articulación
- Un patrón del antepié que provoca anormalidades biomecánicas y desequilibrios que supone cargas anormales de uno de los metatarsianos; como el hallux valgus, pronación excesiva, primer metatarsiano corto y segundo metatarsiano largo, metatarso aducto sin tratar
- Anormalidades biomecánicas y desequilibrios en el pie que causan una sobrecarga de uno de los metatarsianos
- Artrosis del dedo gordo
- Inyecciones repetidas de cortisona en la zona
Estas circunstancias antes mencionadas pueden crear un exceso de presión en la zona. Con el tiempo el ligamento puede estirarse demasiado o romperse, lo que provoca dolor. La falta de un tratamiento adecuado puede resultar en una deformidad de la articulación que provoca una luxación o subluxación de la metatarsofalángica. El desgarro generalmente aparece en la base de la falange proximal.
La condición típicamente implica el segundo dedo del pie y, a menudo se diagnostica erróneamente como un neuroma.
La luxación grave de la placa plantar puede resultar en un dedo en martillo. En los casos leves, el ligamento puede sanar por sí solo.
Patomecánica
El síndrome de predislocación se produce como consecuencia de una insuficiencia de la placa plantar y de los ligamentos colaterales, los cuales estabilizan la articulación metatarsofalángica. Esta insuficiencia es debida a patrones anormales de carga en el antepié, que si no se tratan conllevan a una ruptura de la placa plantar y como consecuencia a una inestabilidad crónica de la articulación metatarsofalángica.
Desde el punto de vista biomecánico, la placa plantar constituye una parte integrante del windlass invertido. Anatómicamente, la placa plantar es el vínculo entre la fascia y la falange proximal; el apoyo plantar del pie tensa la fascia y produce flexión plantar de los dedos; cualquier rotura de la placa interfiere en el correcto funcionamiento del windlass invertido y disminuye la flexión plantar de los dedos durante el apoyo plantar, lo cual contribuye a la dislocación progresiva de la articulación metatarsofalángica.

El factor desencadenante más importante para la subluxación idiopática de los dedos menores del pie es la inflamación progresiva de la articulación metatarsofalángica, que con el tiempo, provoca un debilitamiento y ruptura de la placa y ligamentos colaterales plantares. Así, cualquier deformidad estructural o biomecánica que aumente las fuerzas de carga en la parte anterior del pie y provoque la inflamación de la placa plantar, puede predisponer a un debilitamiento progresivo de las estructuras periarticulares, resultando en una inestabilidad articular.
Los factores más importantes que pueden aumentar o modificar la distribución de las fuerzas de carga del antepié son los siguientes:
- Un segundo metatarsiano alargado o un primer metatarsiano corto.
- El hallux valgus abducto.
- La desviación lateral del dedo gordo puede causar en el segundo dedo desviación multiplanar, que se traduce en el desplome retrógrado de la segunda metatarsofalángica cuando soporta peso.
- El uso de zapatos de tacón alto provoca hiperextensión de la articulación metatarsofalángica, y el calzado con suela muy fina ocasiona un aumento del impacto en la zona metatarsal.
- La hipermovilidad biomecánica también puede predisponer a patrones alterados en la carga del antepié. La pronación excesiva altera el eje de inserción del tendón peroneo largo de tal manera que pierde su capacidad para estabilizar el primer rayo durante la fase de apoyo. En consecuencia, el metatarso elevatus primus resultante puede provocar una transferencia de carga excesiva en las metatarsofalángicas menores.
- La insuficiencia del primer rayo causada por síndromes de hiperlaxitud articular generalizada (como el síndrome de Ehlers-Danlos o de Marfan) también puede generar sobrecarga en las articulaciones menores.
- Se han descrito casos tras corrección quirúrgica de hallux valgus abducto, con elevación sutil de la cabeza del primer metatarsiano.
Parece ser que tanto la alteración estructural como la disfunción biomecánica del primer rayo pueden contribuir al desarrollo de esta entidad en la segunda articulación metatarsofalángica. La condición puede, sin embargo, ocurrir en ausencia de cualquiera de estos factores predisponentes.
Anatomía patológica
Se ha demostrado, a través del uso de la RM, que el punto focal de la ruptura de la placa plantar se produce directamente por debajo de la cabeza del metatarsiano, adyacente a su inserción distal en la falange.
El defecto dentro de la placa es a menudo de espesor total y puede abarcar un gran porcentaje de la placa, dependiendo del grado de la lesión. Este hallazgo es en gran parte, si no totalmente, responsable de la desestabilización en el plano sagital en la articulación metatarsofalángica.
La alteración o insuficiencia del ligamento colateral lateral, además de la dislocación medial de la placa plantar, han sido implicadas como factores que permiten las anormalidades en el plano medial o transversal en la articulación metatarsofalángica menor. Parece ser que el desplazamiento medial de la placa y la desviación posterior de los tendones flexores es el evento principal, mientras que la atenuación y la rotura del ligamento colateral lateral se desarrollan como un acontecimiento secundario.

La rotación medial y dorsal de la placa plantar lleva los tendones flexores medialmente mediante su asociación con la vaina fibrosa flexora. Esto resulta en el desplazamiento medial del vector de fuerza, provocando la aducción y la rotación en varo del dedo afectado. La contractura secundaria de los músculos intrínsecos y tendones extensores mantiene y propaga la deformidad.
El comienzo del desarrollo de la subluxación o dislocación de la placa plantar es una inflamación progresiva alrededor de la articulación metatarsofalángica, con la consecuente atenuación y posterior ruptura de la placa glenoidea y los ligamentos colaterales. Esto conlleva a un debilitamiento de las estructuras periarticulares y produce como resultado una inestabilidad articular que termina en la luxación de esta.
La inestabilidad articular asociada a este síndrome ocurre como resultado de un estiramiento gradual y/o ruptura del ligamento colateral medial o lateral, de la cápsula articular o de la placa glenoidea. La pérdida de función de uno o varios de estos elementos periarticulares precipita la deformación digital del dedo e incluso acaba en cambios artrósicos irreversibles.
Se produce una deformidad, por regla general, en el plano sagital, aunque también se puede dar en el plano transverso.
Presentación clínica
Los pacientes que sufren de síndrome de predislocación suelen presentar un dolor focal agudo, subagudo o, con menor frecuencia crónico, en la cara plantar de la articulación o articulaciones metatarsofalángicas menores implicadas. En general, el dolor es más notable durante la deambulación y desaparece durante el reposo. Con frecuencia, los pacientes se quejan de que sienten como si estuvieran caminando sobre una "pequeña piedra" o "bulto" en la parte inferior del pie, a pesar de la ausencia de cualquier lesión plantar visible.
Los pacientes también pueden quejarse de hinchazón alrededor de la base del dedo, más plantar que dorsal. Algunos notan que el dedo del pie “como si se saliera de su posición”, y otros pueden incluso haber notado un cambio notable en su posición a lo largo de varias semanas.
Rara vez hay una lesión presente sobre la cara dorsal de la articulación interfalángica proximal, aunque puede haber un eritema leve como resultado de la irritación del zapato sobre la almohadilla del nudillo. Ocasionalmente aparece un tiloma (heloma, callosidad).
Algunos pacientes mencionan un aumento o cambio reciente en el nivel de actividad antes del desarrollo de los síntomas. En otros casos, los pacientes pueden recordar un acontecimiento traumático leve, como un paso en falso en una escalera, hueco, o un saliente antes de la aparición de los síntomas.
En etapas posteriores del síndrome de predislocación, un dolor severo puede conducir a una marcha antiálgica, con la compensación del paciente al caminar sobre la cara lateral del pie. La carga de peso con el pie descalzo a menudo se vuelve intolerable, especialmente en superficies duras.
Pueden producirse manifestaciones secundarias, como la sobrecarga de la columna o de la articulación calcáneo-cuboides, a veces llegando a ser tan importantes como el principal motivo de consulta inicial. También pueden desarrollar una sensación punzante persistente y constante de larga duración, independientemente del estado de la carga de peso.
Con frecuencia, el paciente había recibido tratamiento para el problema en el pasado, a menudo después de ser tratado por una variedad de especialistas médicos y quirúrgicos en vano. Los tratamientos pueden haber sido conservadores o quirúrgicos.
No es raro que el paciente haya recibido un diagnóstico de neuroma del segundo espacio interdigital o espacios adyacentes, a pesar de la ausencia evidente de las quejas subjetivas clásicamente asociadas a neuromas. Muchos pacientes habrán sido sometidos a una neurectomía, algunos incluso a cirugía de revisión por presunta recidiva del neuroma.
El fracaso de estos diversos tratamientos es muy frustrante para los pacientes y puede dar lugar a ansiedad sobre su pronóstico. Algunos pacientes pueden haber sido acusados de hacerse el enfermo o pensar que sufren una enfermedad psicosomática. Unos pocos pacientes o sus cónyuges pueden incluso cuestionar si es un problema imaginario y los tratan como hipocondríacos.
Exploración física
Es primordial la localización específica y precisa del dolor durante el examen físico para determinar las estructuras afectadas. En la exploración física del paciente con síndrome de predislocación, se encuentra un dolor insoportable a la palpación justo distal y plantar a la cabeza del metatarsiano que es desproporcionada. El dolor focal en esta área se cree que es el resultado de la bursitis o inflamación de la placa plantar. En ocasiones, la inflamación de una bursa intermetatarsal puede causar irritación de los nervios locales, resultando en síntomas neuríticos o de tipo neuroma.
Sin embargo, los pacientes que presentan dolor causado por la inflamación de la placa plantar generalmente no tienen quejas subjetivas de entumecimiento o dolor punzante o déficits sensoriales objetivables en los dedos afectados, durante la exploración. Además, en el examen físico, el punto focal del dolor es clara y distintivamente en el área de la articulación metatarsofalángica, no el espacio interdigital adyacente. Puede ser útil una inyección intermetatarsal de anestesia local cuando se generalizan los síntomas o cuando el paciente tiene dificultades para la localización de la zona objetivo del dolor.

La función activa de los tendones flexores y extensores del dedo afectado están presentes con un mínimo o ningún compromiso. La palpación y la movilización de la articulación metatarsofalángica pueden provocar crepitación capsular o una alteración de la movilidad de una proyección bien circunscrita. Puede haber una disminución dolorosa en el rango de movimiento de la articulación, en particular en la flexión plantar. No se observa una mal posición del dedo en las primeras etapas. Sin embargo, el clínico observador puede identificar fácilmente los cambios sutiles en la posición en el tiempo. No es raro que la punta se manifieste con una clara tendencia hacia la migración dorsal (no necesariamente la flexión dorsal), con o sin desviación en el plano transversal hacia o desde el hallux.
En la mayoría de los casos, la evaluación de la posición en carga demuestra una sutil pero evidente mala alineación del dedo afectado. Suele haber pérdida de posición del dedo del pie, con o sin desviación medial o lateral. Si esta condición no se controla, el dedo del pie seguirá avanzando progresivamente a la subluxación dorsal, y cuando esto ocurre, es presumible un aumento del dolor. En raras ocasiones, aparece un callo plantar de la cabeza del metatarsiano o un granulo que recubre la articulación interfalángica proximal del dedo afectado (como normalmente se ve con la clásica deformidad de dedo en martillo que ha sufrido la articulación metatarsofalángica en subluxación/luxación crónica). Estas son las queratosis debido a la fricción y el cizallamiento de las estructuras óseas asociadas y a las pérdidas de equilibrio muscular intrínsecas; desarrolladas sólo después de la dislocación del dedo de larga evolución.
El cambio en la topografía local es común y a menudo importante. Típicamente hay edema local y aumento de temperatura, resultante de la inflamación alrededor de la articulación metatarsofalángica. En la mayoría de los casos, el edema plantar es obvio, incluso profundo, y abarca todo el área de la articulación metatarsofalángica, con frecuencia se extiende a distancia en el surco y la base del dedo del pie o dedos de los pies.

En las etapas iniciales del síndrome predislocación, la articulación metatarsofalángica menor puede estar en buena posición anatómica sin mala alineación o contractura. Sin embargo, como la enfermedad progresa y se produce inestabilidad de la articulación, se desarrolla una desviación en el plano dorsal o transversal, con la consiguiente pérdida de la posición del dedo del pie.
Las etapas del síndrome predislocación han sido descritos por Yu y Judge y se basan en los hallazgos clínicos presentes en el momento del examen.
En el estadio 1, hay leve edema plantar y con frecuencia dorsal, en la articulación metatarsofalángica. Hay sensibilidad extrema cuando se manipula la articulación. Clínicamente no se observa mala alineación anatómica.
En el estadio 2, hay edema moderado con una desviación notable del dedo afectado tanto clínica como radiológicamente. A menudo el paciente no se da cuenta de que el dedo afectado no entra en contacto con el suelo. Esto se hace muy evidente en la evaluación de la postura.

En el estadio 3, hay edema moderado sobre toda la circunferencia de la articulación metatarsofalángica y se extiende al dedo del pie. La desviación es más pronunciada y se aprecia una posible subluxación/luxación del dedo. Mientras que el edema y la inflamación finalmente desaparecen por completo, la deformidad se mantiene sin cambios o continúa progresando. El resultado final puede ser una deformidad en crossover del segundo dedo del pie, con o sin un hallux valgus abducto concomitante.
Thompson y Hamilton han sugerido el uso de una prueba de esfuerzo vertical, similar al signo del cajón anterior en la articulación del tobillo inestable, o también prueba de Lachman, para identificar y poner en escena en el plano sagital la inestabilidad de la articulación metatarsofalángica. En esta maniobra, el pie se coloca en la posición neutral, y se estabiliza la cabeza del metatarsiano entre el pulgar del examinador y el dedo índice. La mano contralateral se utiliza para agarrar la parte dorsal y plantar de la correspondiente base de la falange proximal. El dedo a explorar se manipula hacia arriba con presión vertical aplicada por el pulgar plantar. Una fuerza puramente vertical se aplica a la base de la falange proximal en dirección dorsal. Esto es diferente de las pruebas de flexión dorsal. Hay resultado positivo del estrés vertical cuando la falange proximal puede ser trasladada 2 mm dorsal por encima de la cabeza del metatarsiano.

De acuerdo con el esquema de clasificación Thompson y de Hamilton, en la etapa 0 no existe una translocación dorsal de la falange proximal. En la etapa 1, la base de la falange puede sufrir subluxación dorsal pero no dislocación. En la etapa 2, la base de la falange puede ser dislocada pero se puede reducir de forma manual. En la etapa 3, la base de la falange se encuentra dislocada en una posición fija. La evaluación precisa de la cantidad de desplazamiento de la base de la falange proximal de la cabeza del metatarsiano puede cuantificarse en una radiografía lateral.
En el test de Kellikian, o también denominado mecanismo de Windlass invertido, se realiza un movimiento en flexión dorsal en la zona retrocapital de los metatarsianos centrales simulando la carga. Si al realizar este movimiento, los dedos se estiran y se corrige la garra digital, significa que la garra digital es flexible y reductible, por tanto el test sería negativo. En cambio, si al realizarlo los dedos no se estiran y no se corrige la garra digital, este test será positivo. La extensión de los dedos se produce porque al realizar este movimiento en la zona retrocapital, se produce una tensión de la fascia plantar la cual se inserta en su parte más distal en la placa plantar. Este test también se utiliza en la cirugía de los radios medios, el cual se realiza intraoperatorio, para valorar si la técnica quirúrgica realizada corrige la deformidad digital, y en caso de dar negativo el test, poder realizar otras técnicas adicionales para terminar de corregir la deformidad.

La resistencia a la flexión plantar del dedo puede estar disminuida, y esto puede ser cuantificada mediante el “paper pull-out test” o test de estiramiento del papel. Se coloca una tira de papel (1 cm x 6 cm) debajo de la punta del dedo del pie afectado. Mientras que el paciente flexiona plantarmente el dedo afectado y agarra el papel, el examinador tira de la tira de papel de debajo de la punta del dedo del pie. Una prueba positiva se ve cuando no hay presión digital de la cinta, y la tira de papel se extrae intacta sin que se rompa.

Estos hallazgos del examen clínico pueden correlacionarse para proporcionar un medio fiable para el diagnóstico de roturas de placa plantares.
Diagnóstico por imagen
Respecto al diagnóstico por imagen, las pruebas que más se utilizan son la radiología convencional, la artrografía y la resonancia magnética.
Radiografía convencional
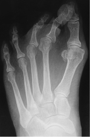
En realidad la placa plantar es radio-transparente, por lo que no se pondrá de manifiesto en una radiografía convencional. Cuando existe evidencia clínica de subluxación MTF, la radiografía estándar es la prueba más práctica para evaluar la congruencia articular. Una radiografía anteroposterior demostrará la desviación transversa del dedo, y la incongruencia o no del espacio articular, así como los eventuales cambios artrósicos intraarticulares. Una radiografía dorso plantar nos ayudará a valorar también la presencia de desviación en el plano sagital y frontal. Los hallazgos más comunes incluyen una interrupción en la parábola del metatarso del pie sintomático, aumento del ángulo entre 1-2 metatarsiano, la desviación medial del segundo dedo del pie y el ensanchamiento de los dedos.

Artrografía
Otras técnicas de imagen adicionales también deben ser consideradas en la evaluación de patología de la articulación metatarsofalángica. Artrografía de las articulaciones metatarsofalángica se ha utilizado para determinar la presencia de roturas de la placa plantar, pero esta técnica está limitada en la definición del tamaño o patrón de la rotura. La artrografía es efectiva y práctica para confirmar el diagnóstico: el contraste se inyecta en la articulación metatarsofalángica, la pacificación del tendón del flexor indicará rotura del plato plantar; la ruptura del ligamento colateral puede observarse si existiese extravasación medial o lateral.
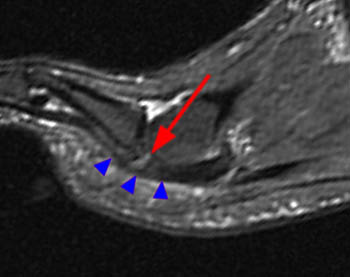
Resonancia magnética
La resonancia magnética es una buena alternativa a la artrografía cuando exista ruptura de la placa plantar ya que es una técnica no invasiva. Mediante esta técnica, la zona se observa con una señal más intensa, que se extenderá más allá del área inmediata de la inserción de la placa en la base de la falange proximal.

La resonancia magnética se caracteriza por ser específica y fiable para determinar la presencia y extensión de la patología en la placa plantar.
Ecografía
Otro método diagnóstico es el diagnóstico por la ecografía. Menos documentado en la bibliografía, y además puede estar limitado por la experiencia del técnico; en la imagen ecográfica la placa plantar en condiciones normales es una imagen homogénea. En el caso que exista una ruptura se observarán fisuras hipoecógenas o defectos oncogénicos en el fibrocartílago.
Mientras que el ultrasonido y la resonancia magnética son dos modalidades de imágenes apropiadas para las roturas de la placa plantar, la ecografía es más sensible que la resonancia magnética (91,5% frente a 73,9%) mientras que la RM es más específica (100% versus 25%).
Tratamiento conservador
La detección temprana de las roturas de la placa plantar es difícil. Debido a la aparición insidiosa del dolor y la deformidad, es bastante común el retraso en la evaluación y el tratamiento. Con frecuencia, los pacientes se preocupan sólo después de la progresión de la deformidad y la presencia de un dedo en martillo ya fijo.
El inicio de las medidas conservadoras puede reducir la metatarsalgia dolorosa, pero rara vez se consigue alterar la progresión de los síntomas o la mala alineación. Hay varias opciones de tratamiento conservador (Figuras a-d). Una modificación en el calzado con una reducción de la altura del tacón y una puntera espaciosa puede reducir la presión sobre el dedo sintomático. Las plantillas de apoyo retrocapital también pueden ayudar a disminuir el estrés en la articulación metatarsofalángica en la fase de apoyo de la marcha. La plantilla deberá llevar una prominencia blanda con una almohadilla en el metatarsiano proximal colocado previamente a la cabeza del metatarsiano sintomático para reducir la molestia plantar mediante la redistribución de la presión.
Una deformidad en martillo sintomática puede ser aliviada con un manguito de dedo del pie de silicio para reducir el dolor. El vendaje funcional del dedo afectado en las primeras etapas puede aumentar la estabilidad en el plano sagital, con el objetivo de control del dedo, mientras que se produce la cicatrización o la curación del tejido. Este vendaje es ineficaz en casos de rotura capsular completa cuando el dedo está moderadamente subluxado o luxado.

Se ha visto que el vendaje reduce la cifra de la progresión de la deformidad, pero los pacientes continúan experimentando dolor en las articulaciones. Debido a la composición de la placa plantar, que está en gran medida formada por colágeno tipo 1, es razonable esperar que una rotura completa sea poco probable que cure espontáneamente con el tiempo. El vendaje de larga duración en ocasiones puede causar ulceración del dedo del pie o edema crónico.
Si bien las medidas conservadoras pueden aliviar temporalmente el dolor y la inestabilidad de una articulación metatarsofalángica menor, no van a corregir de forma permanente la deformidad. Se pueden utilizar fármacos antiinflamatorios no esteroideos (AINE) para gestionar las molestias pero éstos deben usarse con precaución, especialmente en poblaciones de más edad. Las inyecciones de corticosteroides pueden ser diagnósticas y terapéuticas, pero deben usarse con precaución. Las inyecciones pueden potencialmente enmascarar los síntomas, permitiendo además favorecer la degeneración capsular y la placa plantar con subluxación de la articulación o dislocación posterior. Por lo tanto, a medida que aumenta el dolor y la deformidad asociada a la inestabilidad capsular y las roturas de la placa plantares, se debe considerar la intervención quirúrgica.

Tratamiento quirúrgico
¿Por qué reparar la placa plantar?
La placa plantar es uno de los principales estabilizadores de la articulación metatarsofalángica menor. Junto con el complejo del ligamento colateral, son resistentes a nivel de la articulación metatarsofalángica a la deformidad en el plano sagital y transversal. La sección de la placa plantar disminuirá la cantidad de fuerza necesaria para dislocar la articulación metatarsofalángica en un 30 por ciento. La sección de los ligamentos colaterales disminuirá la cantidad de fuerza para dislocar la articulación metatarsofalángica en un 45 por ciento. La sección de ambas estructuras disminuirá la cantidad de fuerza necesaria para dislocar la articulación metatarsofalángica en un 79 por ciento.
Opciones de tratamiento quirúrgico
Cuando hay una deformidad severa, está indicada la corrección quirúrgica. El dedo se vuelve a alinear en la articulación y se estabiliza suturando la rotura de la placa plantar. Este procedimiento se realiza desde la parte superior de la articulación. Se localiza y se sutura la rotura de la placa plantar. Si el hueso metatarsiano es largo o existe un dedo en martillo, se reubican los huesos para alinear el pie y disminuir la presión anormal a través de la región.
En ocasiones, la placa plantar puede estar muy gravemente dañada y no ser reparable. En tales casos, el tendón flexor profundo del dedo del pie se envuelve alrededor de la parte superior del dedo para mantener estable la articulación. No se ha observado pérdida de función con esta transferencia del tendón flexor. No se utilizan agujas para la inmovilización con el fin de evitar la artritis y permitir la terapia física temprana.
Un estudio en cadáver comparando las transferencias de tendones flexores con la reparación de la placa plantar demostró que la reparación directa de la placa plantar ofrece mayor estabilidad dorsoplantar a la articulación metatarsofalángica que la transferencia de tendón flexor, concluyendo que el vértice de la reconstrucción de la inestabilidad en una articulación metatarsofalángica menor debe centrarse en la reparación directa de la placa plantar. A pesar de que la transferencia del tendón flexor puede restaurar la estabilización flexoplantar a la articulación metatarsofalángica, no aborda la esencia de la patología, que es la alteración de la estructura de la placa. Deland llegó a la conclusión de que cuando existe una participación significativa de la placa, no parece probable que la reparación directa o reconstrucción de los ligamentos colaterales ni los procedimientos de tejido blando utilizados en la actualidad proporcionen corrección consistente y duradera.
La técnica quirúrgica para la reparación de la placa plantar puede llevarse a cabo de forma concomitante con procedimientos complementarios, tales como artrodesis interfalángica, alargamiento EHL, capsulotomía selectiva de la articulación metatarsofalángica, transferencia del tendón flexor, osteotomías de los metatarsianos y capsulorrafia lateral de la articulación metatarsofalángica, dependiendo de la complejidad de la deformidad.
Conclusiones sobre la Patomecánica del Síndrome de Predislocación
- La placa plantar es un estabilizador clave: su integridad es esencial para mantener la estabilidad de la articulación metatarsofalángica. Su deterioro compromete el “windlass invertido”, reduciendo la flexión plantar de los dedos y favoreciendo la dislocación progresiva.
- La sobrecarga repetida desencadena la lesión: patrones anormales de carga en el antepié (por deformidades estructurales o disfunción biomecánica) inducen inflamación crónica, que debilita gradualmente la placa plantar y los ligamentos colaterales.
- Existen factores predisponentes anatómicos y funcionales: segundo metatarsiano alargado o primer metatarsiano corto, hallux valgus abducto, desviaciones digitales, calzado inadecuado (tacón alto o suela fina), hipermovilidad, pronación excesiva y síndromes como Ehlers-Danlos o Marfan.
- Las secuelas biomecánicas alteran la marcha: disfunciones como el metatarso elevatus primus y la sobrecarga del segundo radio conducen a transferencias anómalas de carga que perpetúan la inestabilidad articular.
- Puede aparecer incluso sin factores predisponentes clásicos: aunque lo habitual es que exista una alteración biomecánica previa, también hay casos idiopáticos sin deformidades aparentes.