🦶 Hallux Rigidus
1. Introducción
El hallux rigidus (HR) es una artropatía degenerativa de la articulación metatarsofalángica (MTF) del primer dedo del pie, caracterizada por la pérdida progresiva del movimiento articular, especialmente en dorsiflexión, acompañada de dolor y deformidad osteofítica. Es la segunda patología más frecuente que afecta al primer radio del pie, después del hallux valgus, con una prevalencia estimada del 2,5% en mayores de 50 años y una ligera predilección por el sexo femenino.

Su impacto funcional es significativo, ya que limita actividades básicas como caminar, correr o incluso usar calzado convencional. A diferencia del hallux valgus, donde predomina la deformidad, en el HR el síntoma cardinal es la rigidez dolorosa, lo que justifica su nombre (rigidus = rígido en latín).
2. Etiopatogenia: ¿Por qué se Produce?
2.1. Factores Mecánicos y Biomecánicos
- Alteraciones en la dinámica del paso: Un primer metatarsiano elevado (metatarsus primus elevatus) o un primer radio hipermóvil generan sobrecarga en la MTF.
- Morfología articular anormal: Superficies articulares incongruentes (p. ej., cabeza metatarsiana plana) favorecen el desgaste prematuro.
- Microtraumatismos repetidos: Deportes de impacto (fútbol, ballet) o calzado inadecuado (tacón alto, suela flexible) aceleran la degeneración.
2.2. Causas Sistémicas y Metabólicas
- Artropatías inflamatorias: Artritis reumatoide, espondiloartropatías o gota (depósito de cristales de urato).
- Trastornos metabólicos: Hemocromatosis (depósito de hierro en el cartílago).
- Osteocondritis disecante: Necrosis avascular del cartílago articular.
2.3. Factores Genéticos
Historia familiar: Hasta un 80% de los casos tienen antecedentes de HR o artrosis en familiares de primer grado.
3. Cuadro Clínico: Síntomas y Exploración Física
3.1. Síntomas Principales
- Dolor: Localizado en el dorso de la articulación MTF, exacerbado con la dorsiflexión (al caminar, subir escaleras o ponerse de puntillas).
- Rigidez progresiva: Pérdida de movilidad, especialmente en flexión dorsal (< 30°, siendo lo normal 60-70°).
- Hinchazón y deformidad: Osteofitos dorsales ("joroba dorsal") que dificultan el calzado.
- Signos inflamatorios: Enrojecimiento y calor en brotes agudos (artritis reactiva).
3.2. Exploración Física
- Prueba de movilidad: Restricción dolorosa al forzar la dorsiflexión.
- "Grind test": Rotación manual de la falange proximal sobre el metatarsiano reproduce el dolor (sugiere afectación cartilaginosa).
- Palpación de osteofitos: Masa ósea palpable en el dorso de la articulación.

4. Clasificación Radiológica y Diagnóstico Diferencial
4.1. Clasificación de Regnauld (Grados I-III)
Grado | Hallazgos Clínicos | Hallazgos Radiológicos |
---|---|---|
I (Leve) | Dolor ocasional, movilidad > 50% | Osteofitos mínimos, espacio articular conservado |
II (Moderado) | Dolor frecuente, rigidez marcada | Osteofitos dorsales, esclerosis subcondral, pinzamiento articular |
III (Severo) | Dolor en reposo, anquilosis funcional | Pérdida completa del espacio articular, geodas, deformidad articular |

4.2. Diagnóstico Diferencial
- Hallux valgus: Desviación lateral del primer dedo con bursitis.
- Gota/Artritis séptica: Dolor agudo, inflamación intensa, hiperuricemia.
- Fractura por estrés del sesamoideo: Dolor localizado en la planta.
5. Tratamiento: Desde el Manejo Conservador hasta la Cirugía
5.1. Tratamiento Conservador (Primera Línea en Grados I-II)
- Modificación de actividad: Evitar deportes de impacto, usar calzado con suela rígida (ej. zapatos tipo "rocker").
- Ortesis y ayudas biomecánicas:
- Plantillas con barra metatarsal: Redistribuyen la carga.
- Férulas nocturnas: Mantienen la articulación en posición neutra.
- Fármacos: AINEs (ibuprofeno), infiltraciones con corticoides o ácido hialurónico (viscosuplementación).
- Fisioterapia: Movilizaciones pasivas, láser, ultrasonido.

5.2. Tratamiento Quirúrgico (Grado II-III refractario)
Técnica | Indicación | Ventajas | Desventajas |
---|---|---|---|
Cheilectomía | Grado I-II con osteofitos | Conserva movilidad, rápida recuperación | Riesgo de recidiva en artrosis avanzada |
Artrodesis (Fusión) | Grado III, pacientes jóvenes | Alivia dolor, permite carga inmediata | Pérdida permanente de movilidad |
Artroplastia (Prótesis) | Pacientes mayores, baja demanda | Mantiene algo de movilidad | Riesgo de aflojamiento, revisión quirúrgica |
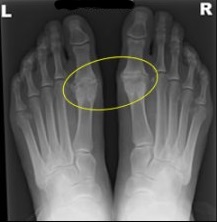
Artroplastia de resección (Técnica de Keller)
La operación de Keller, o artroplastia de resección, consiste en la resección de la base de la falange proximal del primer dedo del pie. Es una técnica quirúrgica clásica utilizada en casos de hallux rigidus con artrosis avanzada, especialmente en pacientes de edad avanzada o con baja demanda funcional.
A diferencia de la artrodesis, esta técnica busca conservar algo de movilidad articular, aunque a expensas de la estabilidad y fuerza propulsora del dedo. Su indicación actual es muy restringida, y se desaconseja en pacientes jóvenes o activos por su limitada capacidad funcional a largo plazo y riesgo de deformidad residual.


Intervención de Keller para hallux rigidus
6. Pronóstico y Complicaciones
Pronóstico favorable en grados leves con tratamiento conservador.
Artrodesis tiene una tasa de éxito del 90% en reducción del dolor, pero sacrifica la movilidad.
Complicaciones quirúrgicas: Infección, pseudoartrosis (en artrodesis), aflojamiento protésico.
7. Conclusiones y Recomendaciones
El hallux rigidus es una entidad incapacitante que requiere un enfoque escalonado:
- Diagnóstico precoz mediante exploración física y radiografías.
- Manejo conservador inicial (ortesis, infiltraciones).
- Cirugía en casos avanzados, donde la artrodesis sigue siendo el gold standard.
Recomendación clave: Pacientes jóvenes con HR deben evitar artroplastias por su alto riesgo de fallo mecánico, optando por artrodesis si el dolor es incapacitante.