🦶 Hallux valgus
El hallux valgus es la desviación de la punta del dedo gordo hacia afuera y de la cabeza del primer metatarsiano hacia adentro, formando un ángulo abierto hacia afuera.
El juanete es la prominencia de la cabeza del primer metatarsiano a consecuencia de diversas causas, tales como higroma, osteofito, quiste sinovial, metatarso varo, etc. Suele acompañar al hallux valgus, pero también se puede presentar aislado.

El hallux valgus es la deformidad más frecuente del pie y de todas las deformidades esqueléticas. En estado natural (es decir, en individuos que nunca han usado zapatos), el dedo gordo sigue la dirección del primer metatarsiano, y se conserva así un discreto aspecto en abanico del antepié. En los individuos que usan zapatos, el dedo gordo adopta una posición valga, es decir hay un hallux valgus fisiológico, en el cual el dedo gordo forma un ángulo de menos de 8º con el eje del pie, y menor de 15 la desviación en varo del primer metatarsiano. Pero solo en el caso de que la angulación sea excesiva se le aplicará la denominación de hallux valgus.
La prominencia medial de la cabeza del primer metatarsiano aparece cuando el ángulo entre el primer y el segundo radio supera los 10° con más de 18° de hallux valgus.
Factores causales
Los factores estructurales que favorecen el desarrollo del hallux valgus son:
- El metatarso primus varus (ángulo intermetatarsiano mayor o igual que 14°). Considerada comúnmente como la deformidad básica, puede ser congénita o adquirida.
Congénita: La afección es a menudo bilateral, el primer metatarsiano está en rotación y suele estar asociado a un pie pronado con aplanamiento del arco longitudinal medial.
Adquirida: En la edad media de la vida y con el aumento de peso, el antepié se ensancha, por lo que el primer metatarsiano se dispone en varo más acentuado. - La laxitud ligamentosa.
- La pronación del antepié.
- La contractura del tendón de Aquiles.
- El calzado inadecuado. Los zapatos no son causa por sí mismos de la deformidad de metatarso varo, pero cuando existe dicha deformidad, pueden favorecer la disposición en varo del dedo gordo, ya que ningún zapato moderno permite que el dedo continúe en la dirección del primer metatarsiano varo. Si bien se ha debatido su papel en la génesis del hallux valgus, es innegable su influencia en la aparición de síntomas.
El hallux valgus juvenil difiere del del adulto por la desviación menos pronunciada del hallux, la menor prominencia medial y la presencia de deformidad rotacional del primer dedo solo en los pacientes con deformidad grave. Se debe prestar atención especial a las características articulares de las articulaciones tarsometatarsiana y metatarsofalángica (hipermovilidad proximal, ángulo articular metatarsiano distal, congruencia articular, hallux valgus interfalángico).
Anatomía patológica
La manifestación más evidente de la deformidad es la prominencia de la cabeza del primer metatarsiano.

En el hallux valgus se pueden presentar las siguientes alteraciones, aunque no necesariamente tienen que presentarse todas en el mismo paciente:
- Aumento de la anchura del antepié, con la diáfisis del primer metatarsiano separándose hacia dentro del segundo.
- El metatarsiano aparece corto, desviado en varo con un ángulo mayor de 15º y puede tener cierto grado de pronación. La cabeza del metatarsiano desarrolla una bolsa protectora (juanete) donde roza con el zapato; puede presentar exostosis y osteofitos.
- La falange proximal del dedo gordo se inclina lateralmente hacia el segundo dedo, el cual está apiñado y puede llegar a deformarse.
- La articulación metatarsofalángica está subluxada, con distensión de los ligamentos externos y acortamiento de los internos. Puede haber artrosis.
- Desviación de los sesamoideos al espacio intermetatarsiano, con desplazamiento del tendón largo del dedo gordo. Esto suprime el principal apoyo del antepié, altera la acción muscular e impide la corrección en varo del primer metatarsiano.
- Desequilibrio muscular debido al desplazamiento de los sesamoideos.
- Alteraciones en la parte proximal del primer metatarsiano, que pueden ser causa o consecuencia de la deformidad.
- Alteraciones circulatorias del primer dedo, con peor irrigación y tortuosidad arterial.
- Alteraciones de los dedos vecinos por insuficiencia del primer radio.
- Alteraciones de las partes blandas: hiperqueratosis, higromas, uña encarnada, etc.
Manifestaciones clínicas
Con frecuencia no existen síntomas, incluso en hallux valgus acentuado. La deformidad puede ser la única manifestación. El dolor, si existe, puede deberse a:
- Juanete inflamado.
- Metatarsalgia del primer radio por sobrecarga.
- Metatarsalgia de los restantes metatarsianos por insuficiencia del primer radio.
- Artrosis secundaria de la primera articulación metatarsofalángica.
- Uña encarnada.
El hallux valgus es comúnmente bilateral, más frecuente en mujeres y en la sexta década de vida. Existe una forma familiar que puede presentarse en adolescentes.
Inspección
El antepié está ensanchado. El dedo gordo presenta metatarso varo con cabeza prominente y bolsa sobre ella; la falange proximal está en valgo y rotación. El tendón extensor puede estar tenso como una banda. El segundo dedo puede cabalgar al primero o estar debajo de este, o existir dedo en martillo. Suelen presentarse callosidades bajo las cabezas metatarsianas.

Palpación
Es importante localizar la sensibilidad, ya que puede influir en el tratamiento. Esta puede estar localizada sobre el juanete, en la articulación o entre los metatarsianos.
Movimiento
La articulación metatarsofalángica, a pesar de la deformidad, suele presentar buena amplitud de movimiento indoloro.
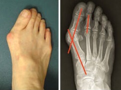
Radiografía
En la proyección dorsoplantar se observan claramente el primer metatarsiano varo y la desviación lateral de los huesos sesamoideos. Puede medirse el ángulo entre el primer y segundo metatarsianos. En la proyección de perfil se evalúa el estado de las articulaciones metatarsofalángica y cuneo-metatarsiana.

Tratamiento
El dolor es un indicativo habitual para la intervención quirúrgica; en este sentido, la evaluación clínica inicial debe centrarse en la búsqueda de la causa del dolor.
Adolescentes.
La mayor parte de los pacientes pediátricos y adolescentes con hallux valgus son asintomáticos y no precisan tratamiento, pero la madre está ansiosa para evitar que llegue a ser tan grave como la suya propia.
El tratamiento del pie plano asociado con una plantilla que soporte el arco, resuelve el dolor en la mayoría de los casos. En ocasiones, un niño o un adolescente con dolor o deformidad inaceptable desde el punto de vista estético puede ser tratado con una férula termoplástica durante el descanso nocturno, aunque los resultados no son muy espectaculares.

Las indicaciones para la intervención quirúrgica son el dolor moderado, la deformidad y la limitación en el uso de calzado. En muy pocos casos la indicación es la estética.
Cualquier técnica elegida debe tener en cuenta los siguientes componentes estructurales:
- La desviación en valgo del dedo gordo (hallux valgus).
- La desviación en varo del primer metatarsiano.
- La pronación del dedo gordo, del primer metatarsiano o de ambos.
- El hallux valgus interfalángico.
- La artritis y la limitación de la movilidad de la primera articulación metatarsofalángica.
- La longitud del primer metatarsiano en relación con los restantes metatarsianos.
- La movilidad excesiva u oblicuidad de la primera articulación metatarso-cuneiforme.
- La eminencia medial (juanete).
Aunque existen muchas técnicas quirúrgicas descritas para la corrección del hallux valgus se pueden dividir genéricamente en osteotomías proximales o distales del primer metatarsiano. No existen series comparativas y controladas de ambos procedimientos quirúrgicos. En los últimos estudios publicados, la osteotomía metatarsal distal parece tener mejores resultados globales que las osteotomías proximales en los adolescentes.
- Los pacientes con ángulos intermetatarsianos ligeramente elevados y hallux valgus moderado pueden tratarse mediante una técnica sobre partes blandas y osteotomía metatarsiana distal de chevron.
- En los casos con deformidades más graves está indicada una intervención sobre las partes blandas distales y una osteotomía metatarsiana proximal o una osteotomía doble del primer metatarsiano. Se puede practicar una osteotomía de la falange proximal para resolver el hallux valgus interfalángico o, en combinación con otras técnicas, para corregir todos los componentes de una deformidad en hallux valgus. También se puede utilizar en pacientes con una deformidad en valgo asintomática del primer dedo que presente síntomas en el segundo dedo.
La corrección quirúrgica en adolescentes tiene una alta tasa de recidivas cuando los resultados son comparados con los aceptados en el adulto. El riesgo de recurrencia es más alto cuando existe un pie plano asociado (56%). Por otro lado, el porcentaje de recidivas tras la corrección quirúrgica también está relacionado inversamente con la edad del niño y puede acercarse al 50 % antes de alcanzar la madurez esquelética.
A veces, las complicaciones asociadas con la corrección quirúrgica del hallux valgus son frecuentes; entre ellas, cabe citar la hipercorrección, la recidiva de la deformidad, la rigidez, la lesión de la placa de crecimiento proximal del primer metatarsiano, la consolidación viciosa o la no unión, la necrosis avascular y la rigidez.
Adultos.
Todos los pacientes afectados de hallux valgus pueden gozar de comodidad gracias a una meticulosa atención al calzado. El zapato debe ser ancho y blando en su parte superior. Pueden usarse almohadillas para proteger el juanete o el dedo en martillo. Son útiles los ejercicios del pie y un tipo de soporte de plataforma anterior en el caso de pie ensanchado con metatarsalgia.Existen múltiples operaciones para la corrección del hallux valgus del adulto:
- Sobre partes blandas:
- Liberación del tendón del aductor y de la cápsula lateral.
- Liberación o escisión de los sesamoideos.
- Imbricación de la cápsula medial.
- Alargamiento del tendón extensor del primer dedo.
- Etc.
- Sobre hueso y tejidos blandos:
- Artroplastia de resección del tercio proximal de la falange proximal (operación de Keller).
- Osteotomías metatarsianas: proximales y distales.
- Osteotomía de la falange proximal.
- Artrodesis metatarsofalángica.
En adultos de edades comprendidas entre 20 y 50 años, el dedo gordo puede «enderezarse» por una osteotomía vara de la falange proximal, por osteotomías metatarsianas o combinadas junto con operaciones sobre partes blandas. En los pacientes ancianos, la operación más simple es la artroplastia de escisión de la articulación metatarsofalángica. Operación de Keller. Es la operación que goza de mayor popularidad sobre todo en personas mayores.

Conclusiones
- El hallux valgus es una deformidad compleja y multifactorial que afecta principalmente al primer dedo del pie, con mayor prevalencia en mujeres adultas.
- En población pediátrica y adolescente suele ser asintomático, y rara vez requiere tratamiento quirúrgico. La corrección debe valorarse solo en presencia de dolor, deformidad funcional o alteración estética significativa.
- En adultos, el tratamiento conservador basado en calzado adecuado, plantillas y cuidados locales puede proporcionar alivio sintomático significativo.
- La indicación quirúrgica debe individualizarse y contemplar factores como el dolor, el grado de deformidad, la limitación funcional y la edad del paciente.
- Existen múltiples técnicas quirúrgicas, desde procedimientos sobre partes blandas hasta osteotomías y artrodesis, que deben seleccionarse en función del perfil clínico y estructural del hallux valgus.
- La cirugía en adolescentes presenta una mayor tasa de recidiva, especialmente en casos con pie plano asociado, por lo que debe indicarse con prudencia antes del cierre de la maduración esquelética.
- El conocimiento detallado de la anatomía, biomecánica y evolución de la deformidad es esencial para una correcta planificación terapéutica y para minimizar complicaciones postoperatorias.